

|
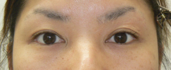
| 手術前 | 直後 |
![]() |
![]() |
|
1ヶ月後 |
2ヶ月後 |
![]() |
![]() |
| 手術ポイント |
目頭切開は、適応を選ぶと非常にきれいに、洗練されてみえ、よい手術なのですが、適応を選ばなかったり、バランスを考えずに行うと怖い印象を与え、爬虫類のようになってしまいます。まったくもとの状態に戻すことはできませんが、蒙古ひだを再建することで、アジア人らしい、優しい表情が再現できます。術後も少し大変で |
【診療内容】
目もと / 目のくま / 目頭切開・他院後修正・眼瞼下垂 / 鼻の手術 / 顔面輪郭形成手術 / 豊胸術・バストの悩み / 脂肪吸引・痩身 / ワキガ、多汗症 / プチ整形 / フェイスリフト / 切らないフェイスリフト / 医療レーザー脱毛 / Tatoo除去 / 婦人科治療 / 陥没乳頭
シミ・そばかす
ニキビ
シワ
赤ら顔
いぼ・ほくろ
乳輪・乳頭・陰部の黒ずみ
エラのボトックス治療
トータルダイエット
ケミカルピーリング
レーザーピーリング
ボトックス
プラセンタ注射・ニンニク注射
医療機関で行うアートメイク
【基本情報】
予約の流れ / 料金のご案内 / お支払い情報
【当院のご案内】
コンセプト / 院長紹介 / クリニック案内 / アクセスマップ / モニター募集 / リクルート情報 / リンク